CABINET DENTAIRE des Docteurs Véronique NIZARD, Léon ABRAVANEL, Perrine LUZIK et Emilie JOSSERAND
Chirurgiens-Dentistes à Paris dans le 11ème arrondissement
ACCUEIL
CABINET
ACCÈS
URGENCES
FICHES CONSEILS
VIDÉOS
CONTACT
DEMANDE DE RDV
Dr Véronique NIZARD
Docteur Emilie JOSSERAND
Docteur Perrine LUZIK
Docteur Léon ABRAVANEL
DOCTOLIB
197 Boulevard Voltaire, 75011 Paris
+33 1 43 70 60 88
selnizcor@orange.fr
ACCUEIL
CABINET
ACCÈS
URGENCES
FICHES CONSEILS
VIDÉOS
CONTACT
DEMANDE DE RDV
Dr Véronique NIZARD
Docteur Emilie JOSSERAND
Docteur Perrine LUZIK
Docteur Léon ABRAVANEL
DOCTOLIB
CABINET DENTAIRE des Docteurs Véronique NIZARD, Léon ABRAVANEL, Perrine LUZIK et Emilie JOSSERAND
Chirurgiens-Dentistes à Paris dans le 11ème arrondissement
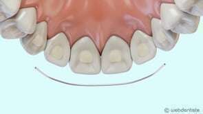
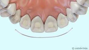
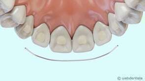
Fil de contention
Vidéos 3D
Partager
Twitter
Partager
Partager
Envoyer
Copier
CABINET DENTAIRE des Docteurs Véronique NIZARD, Léon ABRAVANEL , Perrine LUZIK et Emilie JOSSERAND
197 Boulevard Voltaire
75011
Paris
+33 1 43 70 60 88
Politique de confidentialité et charte cookie
Mentions légales
Conditions Générales Utilisation
Charte déontologique
Ordre national
Annuaires chirurgiens dentistes
Création par
Connexion
Prendre rendez-vous en ligne