LES GRINCEMENTS DE DENTS : LE BRUXISME
Le bruxisme est souvent lié au stress
Relaxation et kinésithérapie peuvent parfois venir à bout des cas rebelles
Manifestations
Le bruxisme est surtout nocturne. Au réveil, les personnes qui en souffrent peuvent ressentir une fatigue musculaire au niveau des joues et parfois des douleurs en avant de l’oreille.
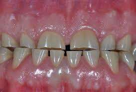
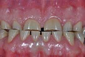
Le bruxisme est dû à un déséquilibre au repos entre les muscles qui relèvent la mâchoire et ceux qui l’abaissent. Il peut entraîner divers problèmes : usure et fractures des dents, douleurs musculaires ou articulaires (au niveau de l’articulation de la mâchoire), fractures de prothèses, difficultés à ouvrir la bouche...
Traitement
On réalise souvent des gouttières de désocclusion ou d’autres dispositifs destinés à protéger les dents des conséquences du bruxisme. Malheureusement, aucun traitement n’est efficace pour traiter ses causes. Dans les cas graves, un traitement à base de relaxants musculaires peut être prescrit de manière transitoire, voire une kinésithérapie dans certaines situations.
Nos conseils
- S’il vous arrive, même occasionnellement, de présenter ces symptômes, n’hésitez pas à en parler : nous pourrons alors examiner ensemble comment améliorer la situation pour votre confort.
- ( lien: www.bruxisme.eu )
